24時間WEB予約24時間
WEB予約
Menu
診療時間 日祝
9:00-13:00 - -
14:30-18:30 - -

木曜日・日曜日・祝日 休診

診療時間

診療時間

診療時間 日祝
9:00-13:00 - -
14:30-18:30 - -

木曜日・日曜日・祝日 休診

症例紹介

case 症例紹介

当院で治療した症例紹介

当院で治療を受けられた方の症例をご紹介しています。

矯正治療(大人)

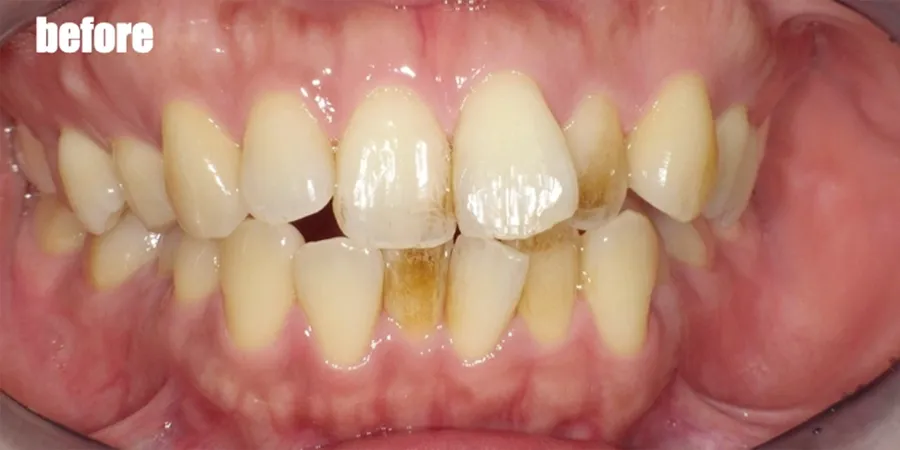
  • CASE 01 乱れた歯並びを調整
    1. 治療前

    2. 治療後

    • 患者様情報

      30代 女性

    • 治療期間

      29週間(約7ヶ月)(追加アライナー1回)

    • 費用

      約45万円

    • 治療詳細

      『子育てが少し落ち着いたので、歯並びを綺麗にしたい』マウスピース矯正(インビザラインgo)の症例

      歯並びが綺麗になったことで、今まで歯磨きしにくく着色しやすかった歯も、しっかり磨けるようになり、歯そのものも綺麗になりました。

    治療のリスク・副作用

    • マウスピースを適切に使用しないと、歯が思うように動かない可能性があります。
    • 治療終了後、十分な期間、保定用のマウスピースを使用しないと後戻りが起こる可能性があります。
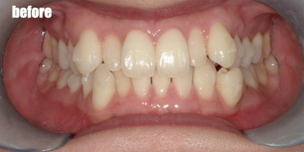
  • CASE 02 乱れた歯並びを調整
    1. 治療前

    2. 治療後

    • 患者様情報

      20代 女性

    • 治療期間

      39週間(約10ヶ月)(追加アライナー1回)

    • 費用

      約45万円

    • 治療詳細

      『八重歯を治して、歯並びを綺麗にしたい』マウスピース矯正(インビザラインgo)の症例

      気になっていた歯並びが綺麗に整いました。

    治療のリスク・副作用

    • マウスピースを適切に使用しないと、歯が思うように動かない可能性があります。
    • 治療終了後、十分な期間、保定用のマウスピースを使用しないと後戻りが起こる可能性があります。
上へ戻る

募集要項

募集職種
歯科衛生士
雇用形態
正社員
勤務地
大阪府大阪市天王寺区上本町5-3-16サイネックスビル3F
アクセス
近鉄大阪線・難波線「大阪上本町」から徒歩2分
大阪メトロ谷町線・千日前線「谷町九丁目駅」から徒歩4分
給与
〈正社員〉
【経験者】
250,000円〜
(試用期間3~6ヶ月給与同額)
交通費
全額支給
診療時間
(月、火、水、金、土)9:00-13:00 14:30-18:30
残業
なし
休日
完全週休2日制(木、日)、祝日
その他休日
夏季、冬季、GW
社会保険
健康保険、厚生年金、雇用、労災
教育
講習会費支給
資格取得支援
院内勉強会
診療マニュアル
歯科衛生士養成学校臨床実習施設(大阪歯科学院専門学校)
待遇・福利厚生・その他
スタッフルーム
患者担当制
歯科外来診療環境体制届出済み
制服貸与
親睦会
人間ドック費用補助
昇給
年1回
※実績・医院業績による
賞与
年2回
※実績・医院業績による
仕事内容
予防処置、保険指導、診療補助、ホワイトニング、矯正、オペ補助、MFT、滅菌・消毒・清掃、受付
選考方法
面接
応募書類
履歴書
応募資格
2025年3月歯科衛生士免許取得予定の方
備考
◎見学だけでも歓迎
日本最大級の医療総合求人サイト ジョブメドレー