Menu
診療時間 日祝
9:00-13:00 - -
14:30-18:30 - -

木曜日・日曜日・祝日 休診

症例紹介

case 症例紹介

当院で治療した症例紹介

当院で治療を受けられた方の症例をご紹介しています。

矯正治療(小児)

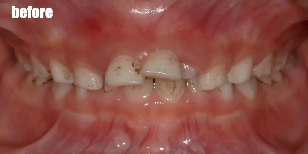
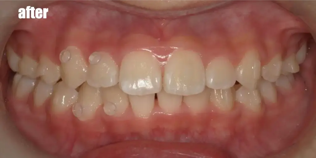
  • CASE 01 生え変わりの乱れを調整
    1. 治療前

    2. 治療後

    • 患者様情報

      6歳 男子

    • 治療期間

      約6ヶ月(その後も約半年は予防的に装置の使用を継続中)

    • 費用

      約10万円

    • 治療詳細

      『大人の歯の前歯が変な所から生えてきた』 小児矯正(プレオルソ(機能矯正装置))・姿勢改善の症例

      前歯の乳歯が抜けそうだが、大人の歯が変な所から生えてきたとのことでご来院されました。
      顎が小さく、大人の歯の前歯が十分に生えてくることができるスペースが足りていなかったのですが、プレオルソ(機能矯正装置)をしっかり使い、ちゃんと口周りや姿勢改善のトレーニングを行うことで、たった半年程度でも劇的に歯並びが綺麗になりました!
      まだまだ大人の歯への生え替わりの最中なので、きっちりトレーニングを続けて綺麗に生え変わって欲しいです!

    治療のリスク・副作用

    • 日中1時間以上と夜間就寝時に機能矯正装置を適切に使用しないと、顎が思うように大きくならない可能性があります。
    • 治療終了後、十分な期間、機能矯正装置を使用しないと後戻りが起こる可能性があります。
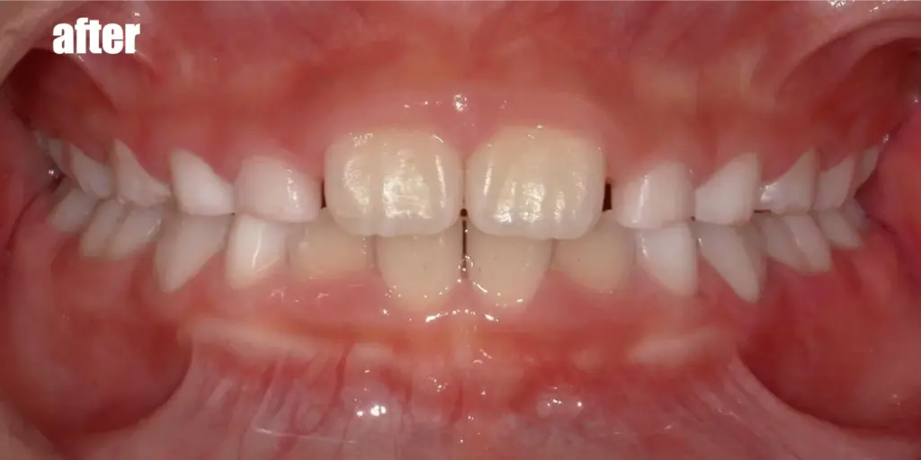
  • CASE 02 歯を抜かずに八重歯を治療
    1. 治療前

    2. 治療後

    • 患者様情報

      11歳 女子

    • 治療期間

      約1年

    • 費用

      約80万円

    • 治療詳細

      『歯を抜かずに八重歯を治したい』顎顔面矯正・マウピース矯正の症例

      顎が小さく、大人の歯が十分に生えてくることができるスペースが足りていなかったため八重歯になってしまっていましたが、急速拡大装置(顎顔面矯正)をしっかり使って顎を大きくすることで、約1年程度でも劇的に歯並びが綺麗になりました!最近顎の小さいお子さんが増えており、八重歯やガタガタ前歯のお子さんが多いですが、適切な時期に顎を大きくしてあげることで、歯を抜かずに治すことが可能です!

    治療のリスク・副作用

    • 矯正装置を適切に使用しないと、顎が思うように大きくならない可能性があります。
    • 治療終了後、十分な期間、保定装置を使用しないと後戻りが起こる可能性があります。
上へ戻る

募集要項

募集職種
歯科衛生士
雇用形態
正社員
勤務地
大阪府大阪市天王寺区上本町5-3-16サイネックスビル3F
アクセス
近鉄大阪線・難波線「大阪上本町」から徒歩2分
大阪メトロ谷町線・千日前線「谷町九丁目駅」から徒歩4分
給与
〈正社員〉
【経験者】
250,000円〜
(試用期間3~6ヶ月給与同額)
交通費
全額支給
診療時間
(月、火、水、金、土)9:00-13:00 14:30-18:30
残業
なし
休日
完全週休2日制(木、日)、祝日
その他休日
夏季、冬季、GW
社会保険
健康保険、厚生年金、雇用、労災
教育
講習会費支給
資格取得支援
院内勉強会
診療マニュアル
歯科衛生士養成学校臨床実習施設(大阪歯科学院専門学校)
待遇・福利厚生・その他
スタッフルーム
患者担当制
歯科外来診療環境体制届出済み
制服貸与
親睦会
人間ドック費用補助
昇給
年1回
※実績・医院業績による
賞与
年2回
※実績・医院業績による
仕事内容
予防処置、保険指導、診療補助、ホワイトニング、矯正、オペ補助、MFT、滅菌・消毒・清掃、受付
選考方法
面接
応募書類
履歴書
応募資格
2025年3月歯科衛生士免許取得予定の方
備考
◎見学だけでも歓迎
日本最大級の医療総合求人サイト ジョブメドレー